概要
強剛母趾において中足骨(母趾の手前にある骨)が挙上していることが指摘されていますが、まだ一定の見解がありません。以前強剛母趾のレビューの論文を書いているとき、これに関する論文がまだ不足していることがわかりましたので、調べて書こうと思っています。
経過
2025-9-16:今投稿中の論文がひと段落ついたので、新しい論文に着手することに。アキレス腱付着部症の骨棘骨折についての論文が実質1か月で書けたので、またレントゲンでの評価の論文を書くことに。強剛母趾のレビューを書いていた時、よく言われている中足骨の挙上についての論文が意外にも不足していることに気が付いたので、これにしよう。強剛母趾の症例は豊富にあるし、レントゲンで評価するだけなので自分次第で早く終わる。強剛母趾の病態について解明する手掛かりとなるのでやりがいもある(何のために書いているのかわからないような論文はやる気も出ない)。10月末くらいには出せるようにやってみよう。まずはMaterials and methodsを日本語で記載。
このような仮説検証型の研究は楽かもしれない。自分がこうと思った仮説を立て、それを証明するためにはどのような測定をすればいいか、どのように統計処理をすればいいかを計画し、実際に測って結果を出せばいいだけだ。病院に臨床研究計画書と倫理申請書を提出。データの表の作成。
2025-9-17:Excelの表の整理。今回は片方が強剛母趾で片方が正常の人で左右を比較する予定なので、片方のみ手術した人をピックアップする作業。結果270人ほどに。文献のExcelの表作成。文献検索。早速病院で10人ほど計測したが、ここで躓いた。中足骨が上がっているといってもほんの数ミリの話なので、精度の高い測定をしないと有意な差として現れない。測定前は測定の軟部組織の境界線と思っていたが、境界があいまいで簡単に数ミリの誤差が出てしまう。これはほかの文献を読んだり、出す結果を違うものにしたりしないとだめだ。
2025-10-20:査読中だった自分の2つの論文も落ち着いたし、たまっていた査読もなくなったので、やっとこちらに戻ってくることができた。文献の入手。
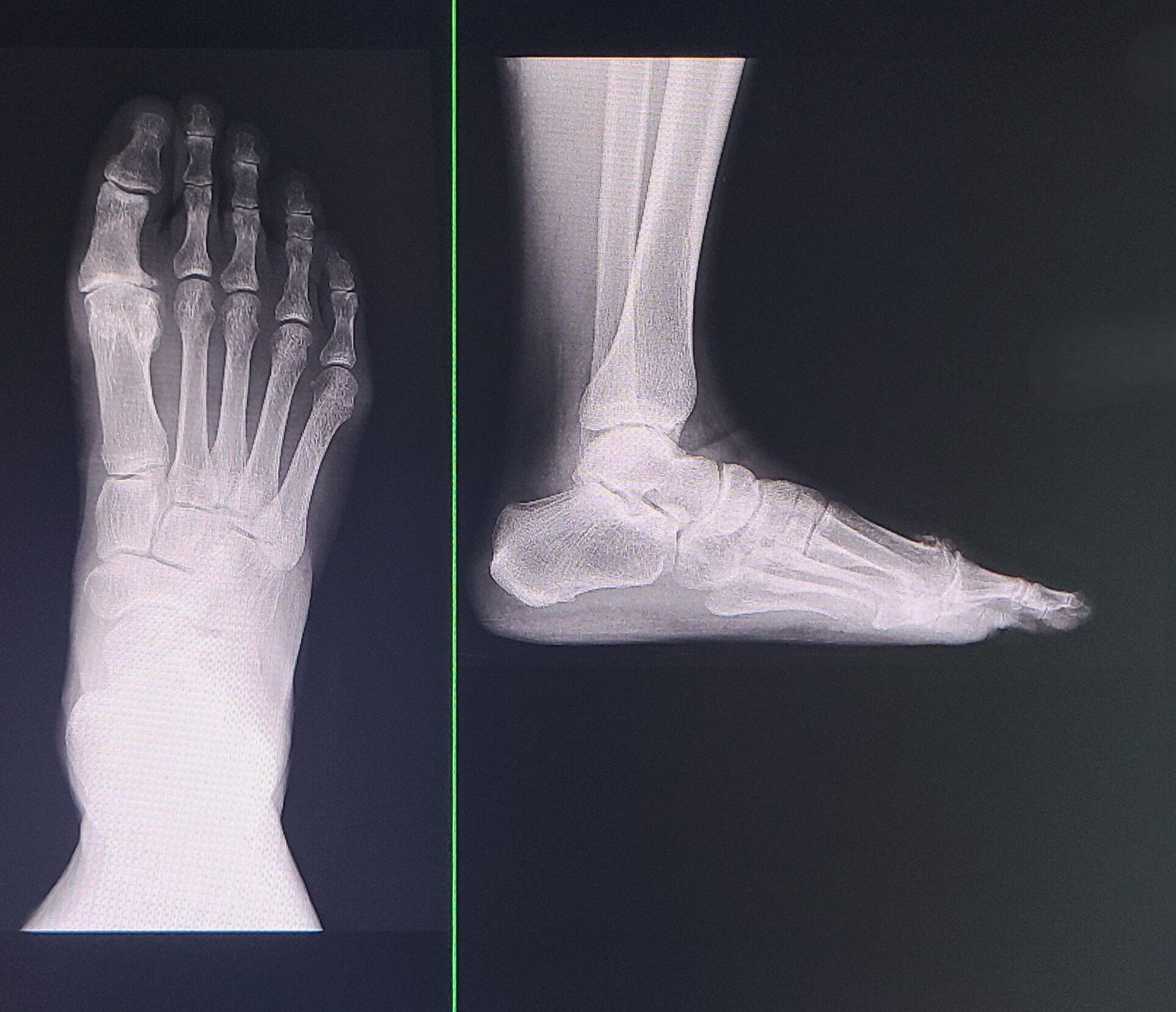
2025-10-21:文献読み。まとめの表に記入。計測方法はいくつかあるが、多くの研究で用いられているのは主に2つ。ここはあまりに奇抜な計測法を採用してもその信憑性を問われそうだから、「過去の文献と同様にしました」とした方がすんなり受け入れられそう。むしろそのほかの部分(症例数、健側患側間での比較、グレード間の比較)を売りにした方がよさそう。
その2つの指標でレントゲンを計測したら、10例くらい測ったところでつまづいた。片足が強剛母趾でもう片足が正常な足の症例で比較論文を書こうと思ったが、あまりに多くの人が両足とも強剛母趾なのである。これだと異常に症例数が少なくなってしまう。両足強剛母趾例も含める?方針変更が必要だ。
2025-11-14:最近まで他の論文の執筆や査読や学会発表や参考書の分担部分の執筆などで忙しかったが、やっと落ち着いたので、またこちらの論文作成に戻ろう。片足強剛母趾で片足正常な人はほとんどいないので、両足の比較という企画はやめ、手術した足のみのレントゲン写真を入れることにしよう。しかも手術していない足はCTを撮影していないので、病期の確認の時に不備が出てしまう。片足だけにしても250足くらいはデータがあるので十分だろう。第一中足骨の挙上の指標は過去の指標に従おう。
2025-12-10:WJOに提出したアキレス腱付着部症骨棘骨折の論文の査読がいつまでも進まないので、こちらをやることに。今まで書いた分の見直し。STROBE checklistの見直し。文献のチェック。文献の読み直し。
2025-12-11:文献読み。


